White Fillings (Composite Restorations)
White fillings, also known as composite restorations, are now the most commonly used material for repairing teeth. They are designed to blend seamlessly with your natural tooth colour, making them an excellent choice for both front and back teeth.
Thanks to significant advances in dental materials and techniques, modern composites are strong, durable, and highly aesthetic. In many cases, they allow us to restore teeth in a more conservative way, preserving as much natural tooth structure as possible.
Benefits of white fillings:
- Natural appearance: Carefully matched to your tooth colour for a virtually invisible result
- Strong and reliable: Modern materials are suitable for most small to medium-sized restorations, including back teeth
- Minimally invasive: Bonding technology allows us to remove less healthy tooth structure compared to traditional materials
- Versatile: Ideal for repairing decay, replacing old fillings, or improving the shape and appearance of teeth
- Mercury-free: A popular choice for patients seeking metal-free dental care

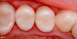
Composite fillings, ideal for repairing decay, replacing old fillings, or improving the shape and appearance of teeth
Process
Placing a composite filling is a precise process that requires attention to detail to ensure the best long-term outcome. We take great care to create the ideal conditions for placement, helping to maximise the strength, durability, and longevity of your restoration.
While white fillings are suitable for the majority of situations, there are some cases—such as very large restorations, heavy biting forces, or teeth with limited remaining structure—where alternative options like ceramic restorations may provide a better long-term solution. We will always discuss the most appropriate treatment for your individual needs.